一日有牙

 核心概念

 透過先進的植牙技術,在單一手術當天完成「全口拔牙、植體植入、安裝臨時假牙」,讓患者術後立即擁有完整牙齒功能 與美觀。

 

關鍵特點
1.一日完成:

       拔除剩餘牙齒 → 植入人工牙根(植體) → 固定全口臨時假牙,全程在 24 小時內 完成。

2. 即刻恢復功能:

       術後可立即進食(軟質食物)、說話,避免傳統植牙長達數月的「無牙期」。

3. 技術整合:

      結合 導航植牙手術 與 數位微笑設計(DSD),精準規劃植體位置與臨時假牙外型。

4. 適用對象:

      全口嚴重缺牙或牙周病患,齒槽骨條件許可者(需經 3D 電腦斷層評估)。

 

治療流程:

植牙 一日有牙

80歲張阿姨重拾好牙力!一日植牙當日有牙,告別搖晃假牙,啃蘋果不再難!

微創免開刀,當日拔牙、植牙、裝臨時牙,高齡患者快速恢復咀嚼力!

困擾

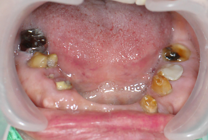
張阿姨的下顎整排假牙已經陪伴她多年。但最近,假牙變得異常鬆動,不僅影響吃飯,更散發出難聞的異味,讓張阿姨非常困擾,甚至不好意思與人交談。最讓她難受的是,幾乎無法好好享用喜歡的食物,生活品質大受影響。

診斷關鍵

經我們詳細檢查發現,問題根源在於支撐假牙的下顎天然牙齒已經嚴重蛀空!這些作為支柱的牙齒結構嚴重損壞,無力再穩固支撐假牙,導致假牙鬆動、藏污納垢產生異味,更無法承受咀嚼力量。

治療期望: 張阿姨明確表示不想配戴活動假牙。她渴望擁有穩固、好清潔、能真正恢復咀嚼功能的牙齒。

全扣植牙
全扣植牙

創新解決方案

一日植牙技(微創不翻瓣術式)針對張阿姨的年齡、口腔狀況和強烈意願,我們植牙團隊為她量身定制了「一日全口重建」植牙方案,並採用微創不翻瓣技術,最大程度減少創傷和不適。

治療亮點流程

微創拔除蛀空殘牙:拔除已無保留價值的蛀蝕牙齒。

即刻補骨植牙: 在拔牙區域(或適當位置),利用先進的導引技術,無需大面積翻開牙齦(不翻瓣術式),精準植入多顆人工牙根(植體),作為新牙齒的穩固根基。同時進行必要的骨粉填補,確保植體長期穩定。

即刻安裝臨時固定假牙: 利用先進的CAD/CAM技術或預成連接件,在植體植入當天,立刻為張阿姨裝上一副堅固耐用的臨時固定假牙。這意味著張阿姨在離開診所時,嘴裡已經擁有了一副可以馬上使用的固定牙齒!

全扣植牙
全扣植牙

微創優勢體現:

不翻瓣術式: 避免了傳統植牙需要大面積切開牙齦翻瓣的步驟,創傷極小。

術後恢復快:

得益於微創技術,張阿姨術後幾乎沒有明顯腫脹,疼痛感也大幅降低。

即刻恢復生活:

最大的驚喜是,張阿姨當天回家就能用新的臨時固定牙吃軟食了! 說話清晰,面容自然,日常生活完全不受影響,告別了鬆脫假牙的尷尬。

最終修復:

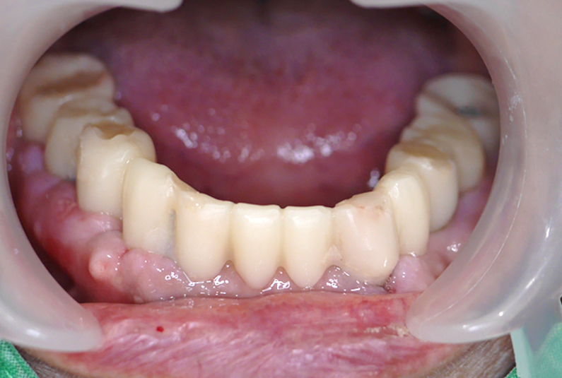
臨時固定假牙讓張阿姨舒適地度過了約3個月的骨整合期(人工牙根與骨頭緊密結合的關鍵時期)。3個月後,骨頭癒合穩固,張阿姨回診,醫療團隊為她取下臨時假牙,換上量身定制、更美觀、更堅固耐用的正式固定假牙。

全扣植牙
全扣植牙

張阿姨的轉變:

穩固舒適: 正式假牙牢牢固定在植體上,比活動假牙穩固百倍,毫無異物感。

咀嚼有力: 困擾已久的進食問題徹底解決,終於能好好享用美食,啃蘋果、吃排骨不再是奢望。

口氣清新: 固定假牙易於清潔,徹底解決了假牙異味問題,重拾社交自信。

生活品質飛躍: 告別假牙煩惱,笑容更燦爛,享受晚年美食樂趣。

全口植牙

醫師總結:
張阿姨的案例充分展示了「一日植牙」技術結合微創不翻瓣術式在高齡缺牙患者治療中的巨大優勢:

時間極短: 當日拔牙、植牙、即刻有牙,大幅縮短療程。

創傷極小: 免開刀、不翻瓣,術後腫脹疼痛輕微,恢復快速。

生活無礙: 當日即可恢復基本咀嚼和美觀,不影響日常生活。

效果顯著: 最終提供穩固、舒適、功能強大的固定式假牙,極大提升患者生活品質。


對於像張阿姨這樣,支撐牙損壞、無法忍受活動假牙、渴望快速擁有穩固牙齒的高齡患者,「一日植牙」微創技術是實現「當天告別缺牙、重拾好牙力」的理想選擇。

✅ 牙橋鬆脫、搖晃?
✅ 缺牙遲遲未處理?
✅ 覺得假牙不好用、開始有異味?

別再忍受! 現代植牙技術能提供穩固、快速且耐用的解決方案,幫助您找回吃的樂趣和自信笑容!

👉 讓勤美專業植牙團隊,為您打造穩固好牙,重拾美味人生!

返回頂端