全口保骨植牙

定義 : 單顎植入8~10顆植體 做成分段式假牙

優勢 : 骨質保存、維修便利、植牙壽命增長

〈50歲資深美女的重生微笑|全口分段植牙保住骨本,告別舊假牙搖晃噩夢〉

"終於能自信咬下蘋果的瞬間,我才真正感覺人生下半場才剛開始!"——王小姐 科技公司財務長

 

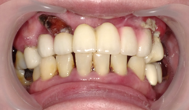
困擾多年不敢笑的煎熬
「擔心假牙脫落 竟比開會還緊張!」

王小姐長期受困於:
❌ 上排假牙頻繁鬆脫,會議中必須摀嘴說話
❌ 依賴黏合劑導致牙齦發炎,異味影響社交自信
❌ 僅能食用軟爛食物,牛排、生菜沙拉成奢望

“每當對談報告時,都會擔心聞到異味,那種羞愧感比牙痛更折磨…”

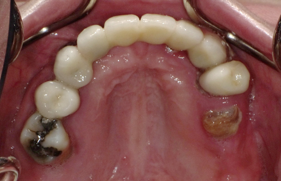
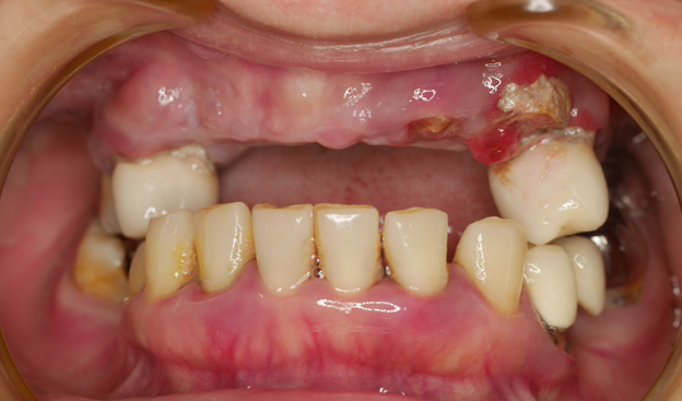
全口植牙
全口植牙
全口植牙
全口植牙

為什麼選擇「全口保骨植牙」?

針對王小姐的骨質條件與年齡考量(50歲骨密度T值-0.8/期望未來30~50年優質生活),制定分段保骨方案

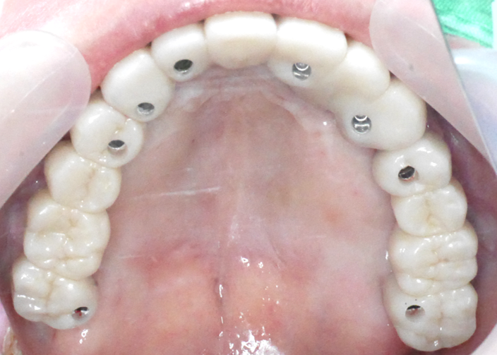
8顆植體  ⭐ 骨質保留率提升3倍

3段假牙   ⭐ 單區維修不影響其他牙齒

 

全口植牙
全口植牙
治療亮點

搶救骨本工程:於萎縮區進行「超短植體+骨誘導技術」,免去大範圍補骨手術

力學精算設計:後牙區植體加粗至5.0mm,承擔主要咀嚼力

漸進式恢復:
▶ 首週裝臨時假牙恢復進食
▶ 三個月完成後牙永久假牙
▶ 半年精修前牙美學區

 

⏱️ 治療前後驚人對比
項目治療前治療後
日常進食豆腐/粥品堅果/牛排自如
骨質密度上頜萎縮40%6個月增生12%
假牙穩固度每日脫落3-5次啃蘋果零移位
全口植牙

她的真心分享 :

「原以為做All-on-4省事,但陳醫師用X光片對比點醒我:『50歲的妳,要為80歲的骨頭負責』」
→ 術後18個月追蹤證實:有植體區域骨質零流失,無植體區萎縮速度減緩50%
→ 上個月咬裂右上假牙,僅花2小時局部修復,全程無需拆卸其他假牙 !

「與其每年心驚膽戰假牙問題,不如用植牙守住骨本——這是送給未來自己最好的禮物」

勤美提醒:早投資骨本的黃金時機


✓ 50-65歲骨質仍有活性:植體整合成功率達98.2%(2024 ITI數據)
✓ 分段維修優勢:單顆植體故障維修成本節省83%
✓ 骨保留效益:每增加1顆植體,20年後補骨需求降低27%

預約您的「骨本保衛戰」

📞 專線:(02) 877-32001

🖥️ 免費骨質評估

📍 專業醫師諮詢

返回頂端