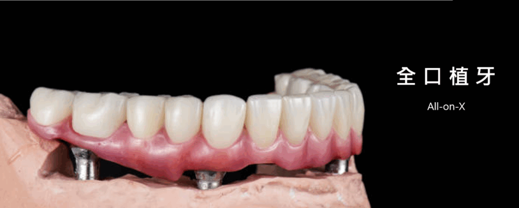
全口植牙

重獲完美笑容與咀嚼力!All-on-X,一勞永逸的缺牙解決方案

您是否因為全口缺牙或嚴重牙齒損壞,正面臨這些困擾?

  • 咀嚼困難,美食當前只能望而興嘆?

  • 說話發音不清,影響社交自信?

  • 配戴活動假牙不穩、異物感重,甚至疼痛不適?

  • 因缺牙導致面容塌陷,看起來比實際年齡蒼老?

「All-on-X」正是您重拾健康口腔功能與燦爛笑容的關鍵!

 什麼是All-on-X ?
全口植牙是一種先進的牙齒重建技術。它並非一顆顆種植所有牙齒,而是利用精密的規劃,在您的上下顎骨中植入數顆(通常4至6顆)堅固的鈦金屬人工牙根(植體)作為支撐基礎。然後,再將一副製作精良、宛如真牙的「固定式假牙」穩固地安裝在這些植體上。

All-on-X 的卓越優勢:

  1. 穩固如真牙: 告別活動假牙的鬆動、搖晃與滑脫!植體與骨頭緊密結合,提供假牙絕佳的穩定性,讓您盡情享受美食,說話清晰有自信。

  2. 恢復強大咀嚼力: 媲美真牙的咬合力,讓您輕鬆咀嚼各式食物,營養吸收更完整,享受飲食樂趣。

  3. 自然美觀,重拾年輕輪廓: 量身訂製的假牙色澤、形狀自然逼真。更重要的是,植體能有效刺激骨頭,防止萎縮,支撐臉部結構,恢復豐潤臉型,看起來更顯年輕活力。

  4. 舒適無異物感: 固定式設計,無需大面積牙齦覆蓋,免除傳統活動假牙的壓迫感與異物感,配戴體驗舒適自在。

  5. 便利好清潔: 維護方式如同清潔真牙,使用牙刷、牙線(牙間刷) 即可輕鬆保持口腔衛生,告別繁瑣的假牙黏著劑。

  6. 長久耐用: 選用高品質植體並配合良好口腔照護,全口植牙可提供長期甚至終身使用的解決方案,是極具價值的健康投資。

 適用對象:

  • 全口無牙者。

  • 多數牙齒嚴重損壞或缺失,無法保留者。

  • 配戴傳統全口活動假牙極度不適或功能不佳者。

  • 希望擁有穩定、美觀、功能接近真牙的永久解決方案者。

 先進技術選擇:

  • All-on-4 / All-on-6: 利用最少數量的植體(上/下顎各4或6顆),以特殊角度植入,常可避開骨質不足區域,減少或避免複雜的補骨手術,縮短治療時間,是高效能的解決方案。

All-on-6

75歲廖阿姨重拾「吃」的幸福感!鬆脫牙橋大危機,6顆植牙重建穩固笑容✨

您能想像,因為牙齒問題,連好好吃頓飯都成為奢望嗎?75歲的廖阿姨就經歷了這樣的困境!😔

多年來依靠的舊牙橋突然鬆脫,讓廖阿姨無法正常進食,不僅生活品質大受影響,身體健康也亮起紅燈。經過我們專業檢查才發現,問題的根源在於:牙橋底下支撐的牙齒,竟然早已蛀蝕殆盡!🦷💔 沒有了穩固的根基,牙橋自然無法發揮功能。

為了徹底解決問題,讓廖阿姨重拾咀嚼能力和生活品質,我們為她規劃了完善的治療方案:植入6顆人工植體作為堅固的「地基」,再裝上全新的固定式假牙(全口固定假牙重建)。

全口植牙
全口植牙
全口植牙

 

🌟 治療後,廖阿姨收穫了雙重驚喜:

1️⃣ 「食」力全開! 穩固的固定假牙讓廖阿姨終於能重新享受各種美食,吃得香、營養足,身體自然更健康!
2️⃣ 意外變「順」眼! 除了恢復咀嚼功能,更讓廖阿姨驚喜的是,原本因缺牙和牙橋造成的輕微「凸嘴」外觀,竟然也一併改善了!臉型線條變得更柔和、更自然,笑容也更加自信迷人!😄

從「食不下嚥」到「大快朵頤」,從「不敢笑」到「笑開懷」,廖阿姨用親身經歷告訴我們:牙齒健康,是晚年幸福生活的基石!

全口植牙
全口植牙
全口植牙
全口植牙

失聯十五年再聚首,六柱擎天重啟美食人生!70歲林伯伯的全口固定式重生記 ! ✨

林先生十五年前(約55歲時)曾在本診所接受上顎左側後牙區兩顆植牙手術,成功重建部分咀嚼功能。其後,林先生移居高雄,與我們失去聯繫。這些年間,林先生其餘的自然牙因各種問題陸續損壞、拔除,最終只能依賴活動假牙。然而,活動假牙的鬆動、異物感及咀嚼無力等不便,讓林先生備感困擾,嚴重影響生活品質與享用美食的樂趣。為了解決困擾,林先生特地從高雄搭乘高鐵北上,尋求全口固定式重建的可能。

全口植牙

🌟臨床評估:
經過詳細的口腔檢查與3D影像分析(如電腦斷層掃描),發現林先生口內狀況如下:

  1. 上顎左側十五年前植入的兩顆植體狀況良好,穩固且骨整合佳。

  2. 其餘牙齒已缺失,齒槽骨條件在特定區域仍適合植牙。

  3. 林先生強烈希望以「固定式」假牙重建全口功能,並期待能盡量減少手術不適與時間。

全口植牙

🌟治療方向:

考量林先生的需求、口腔條件及經濟效益,我們擬定了創新的治療計畫:

  1. 善用既有資源: 將上顎左側十五年前穩固的兩顆舊植體上方的假牙拆卸下來,確認植體健康無虞。這兩顆歷經考驗的植體,成為重建計畫中寶貴的「強力支柱」。

  2. 精準增援: 在上下顎其他評估後具備足夠骨質的區域,以微創手術方式,精準地再植入四顆人工植體。

  3. 高效重建: 結合原有的兩顆植體與新植入的四顆植體,共計六顆植體作為支撐基礎。利用特殊的連接裝置(如桿柱或橋接設計),為林先生鎖上一組穩固的全口固定式假牙(All-on-6 hybrid prosthesis)

全口植牙

🌟治療特色:

  • 「微創」手術: 新植體植入時力求減少組織創傷,加速術後恢復。

  • 「快速」見效: 利用All-on-6概念,在最短時間內(通常術後當天或短期內)裝戴臨時固定假牙,立即恢復美觀與部分咀嚼功能。

  • 「無痛」管理: 配合完善的麻醉與微創植牙術式,大幅降低治療過程及回家後的不適感。

  • 「最大化利用」既有植體: 十五年舊植體的成功再利用,不僅節省費用與手術步驟,更提供額外的穩固性與信心。

全口植牙

🌟治療成果:
林先生對於治療過程的舒適度及快速恢復固定咀嚼功能感到非常滿意。擺脫了活動假牙的束縛,他終於能夠自在、有力地享受各種美食,重拾品嚐的樂趣與生活的自信。從高雄北上的辛苦旅程,換來了一口穩固好用的新牙,林先生的笑容說明了一切。

🌟結論:
即使面臨全口無牙且曾失去聯繫的狀況,透過仔細的評估、先進的植牙技術(如All-on-6)以及靈活運用既有的健康植體,我們成功為林先生實現了「全口固定式重建」的夢想。微創、快速且相對舒適的治療方式,讓高齡患者也能輕鬆重獲高品質的咀嚼功能與生活享受。

(  全口重建、All-on-6、固定式假牙、活動假牙不適、微創植牙、植體再利用、高齡植牙、立即負重、咀嚼功能恢復  )

✅ 牙橋鬆脫、搖晃?
✅ 缺牙遲遲未處理?
✅ 覺得假牙不好用、影響外觀?

別再忍受! 現代植牙技術能提供穩固、耐用且美觀的解決方案,幫助您找回吃的樂趣和自信笑容!

👉 讓勤美專業植牙團隊,為您打造穩固好牙,重拾美味人生!

返回頂端