扣環式義齒 (Implant-Suppoerted Overdenture)

 基本概念
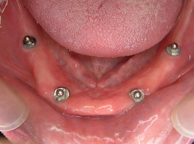
扣環式義齒是一種結合「牙科植體」與「活動假牙」的修復方式,利用植體提供穩定性,取代傳統依賴牙齦支撐的活動假牙。患者可自行拆卸清潔,但日常使用時能大幅提升固定性與功能。

主要特點 

 > 穩定性高:植體作為錨點,防止假牙滑動或脫落,改善咀嚼效率(可恢復70-90%天然牙咬合力)。
 > 保留骨質:植體刺激牙槽骨,減緩萎縮速度(傳統假牙每年可能導致骨流失0.5-1mm)。
 > 方便清潔 : 活動假牙可取下,清潔更容易,減少植體感染機率。
 > 維修容易 : 若有套件磨耗或假牙破損,可隨時取下更換,快捷輕鬆無壓力。
 > 適用情況:適用於全口或半口無牙患者,尤其是原有活動假牙越來越鬆脫者。

案例一 原有活動假牙不好使用

 

舊 假 牙

不舒適
口感差
咬力弱
易脫落
骨易縮

活動假牙
活動假牙
活動假牙
活動假牙

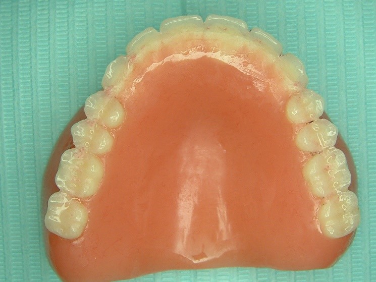
改成 ” 扣 環 式 義 齒 “

很舒適
口感佳
咬力大
不鬆脫
保骨質

扣環式義齒
扣環式義齒
扣環式義齒
扣環式義齒
扣環式義齒

案例二 下顎牙床薄 /牙床條件不佳

告別活動假牙搖晃的困擾!張女士笑容重生的故事

「牙床薄、骨質差,活動假牙總是戴不住,難道只能全口植牙嗎?」張小姐多年來飽受假牙不穩定的折磨,卻又對大手術感到恐懼。

透過「扣環式義齒」技術,我們在她下顎條件較好的位置精準植入兩顆植體,打造穩固支撐點。從此,假牙牢牢固定,說話、咀嚼不再提心吊膽!

🌟 微創植牙|減少手術負擔
🌟 精準強化|利用現有骨質條件
🌟 當日即可恢復正常飲食

「終於能自在吃東西、開心笑了!」——張小姐的真心分享

#扣環式義齒 #骨質差也能穩固假牙 #微創解決方案 #重拾咀嚼自信

 

扣環式義齒
植牙 活動假牙
扣環式義齒
植牙 活動假牙

案例三 上顎牙床持續萎縮 假牙戴不住

【81歲黃阿姨重拾好「食」光!免開刀微創植牙+覆蓋式義齒,鬆動假牙穩固了!】

活動假牙陪伴黃阿姨十多年,近年卻成了心頭大患!牙床持續萎縮,假牙越來越鬆,怎麼改都沒用。連假牙黏著劑也「黏」不住了,吃飯時沒咬幾下,活動假牙就鬆脫移位,美味佳餚看得到卻吃不到,笑容也蒙上陰影… 難道只能這樣將就嗎?

我們仔細我們仔細評估發現黃阿姨部分位置骨頭條件還足夠,所以採用 「扣環式義齒」 技術,免開刀、低不適地植入 三顆植體 作為穩固根基。

神奇改變發生了!原本搖搖欲墜的活動假牙,現在透過植體獲得強力支撐,牢牢吸附、穩固如真牙!黃阿姨終於能安心享受每一口美食,重拾大口吃飯的滿足與自信笑容!

擺脫假牙鬆動困擾?
扣環式義齒扣環式義齒,可能是您穩固笑容的關鍵!

#扣環式義齒 #穩固假牙 #微創解決方案 #重拾咀嚼自信

植牙 全口假牙
植牙 全口假牙
植牙 全口假牙
植牙 全口假牙
返回頂端